REVIEWS
PATIENT FEEDBACK
The wisdom tooth extraction went incredibly fast and without any pain. Many thanks to the doctor for his patience and great human approach.
SmileTime helped me with an implant and everything went exactly according to plan. It is a modern clinic that you can fully trust.
eplacing old fillings with white ones was quick and the result looks very natural. I appreciate the cleanliness of the clinic and the professionalism of the entire team.
The best dental hygiene I have experienced in Prague 9. The procedure was very gentle and the staff was incredibly kind.
The new crown fits perfectly and looks like my own tooth. Thank you for the top-notch work and personalized approach.
Tartar removal was painless and very thorough. SmileTime is a great clinic with modern equipment.
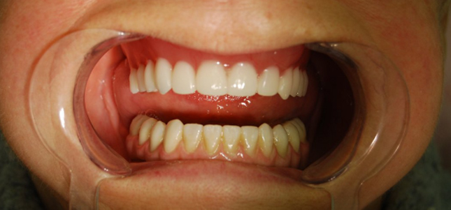
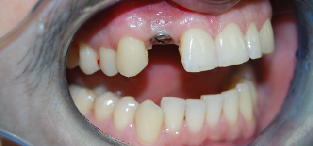
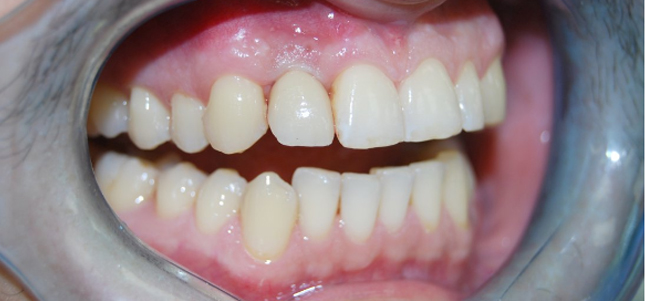
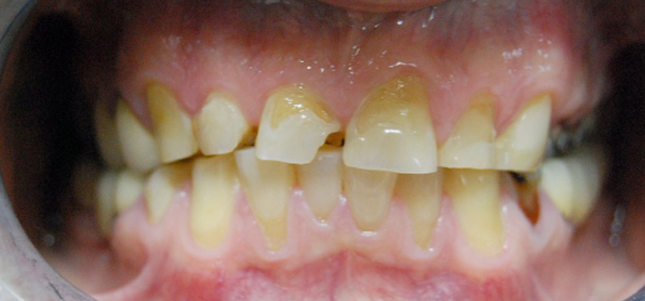
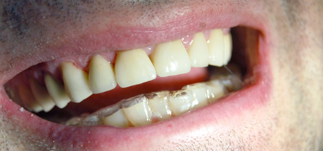
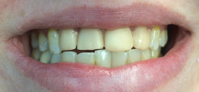
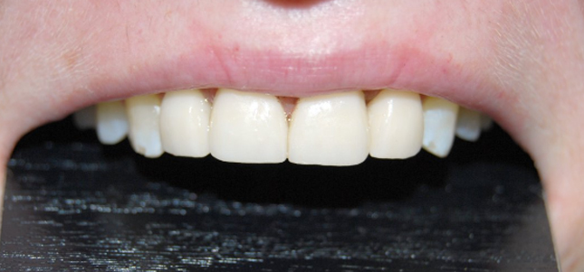
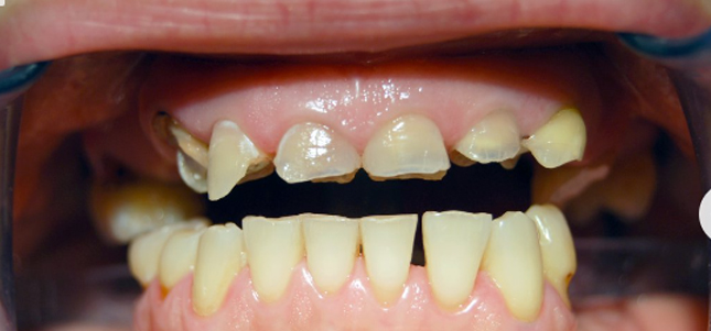
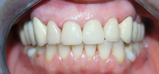
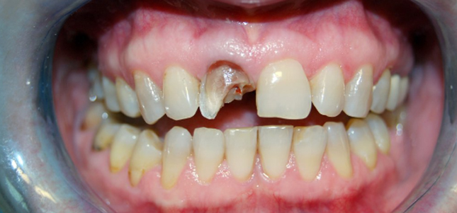
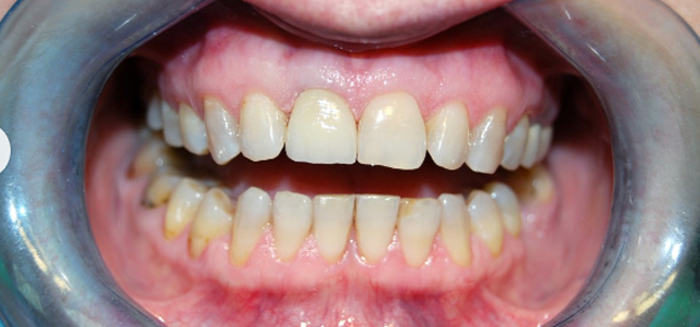
Smile Transformations













3000+
Happy Patients
We’re here for you during business hours, but feel free to book or send inquiries 24/7. We’ll get back to you as soon as we’re back online.
Opening Hours:
Monday – Friday: 9 am – 5 pm
Saturday: Closed
Sunday: Closed